Wondering how to soothe your dog with a collapsed trachea? Worrying about how to know when it might be time to euthanize a dog with tracheal collapse? Dr. Dawnetta Woodruff, end-of-life care veterinarian and friend of integrative veterinarian Dr. Julie Buzby, is here to help. Dr. Woodruff provides practical tips for helping, caring for, and comforting a dog with collapsing trachea. Plus, she offers compassionate guidance for dog parents who are struggling with the possibility of losing their beloved dog to a collapsed trachea.

When your dog begins to cough, you may think, “Oh no, did she catch a cold?” or “Maybe he has allergies.” It may not necessarily be on your radar that your dog could end up getting diagnosed with a life-altering condition like tracheal collapse. However, sometimes that is the case.
After receiving the diagnosis, you may be wondering what it will mean for your sweet pup. How can you best soothe and comfort a dog with a collapsing trachea? Will it be clear when you need to consider letting him or her go?
Answering those questions starts with an understanding of tracheal collapse.
What is tracheal collapse in dogs?
Tracheal collapse is a condition where the windpipe (trachea) becomes flattened and narrower, making it hard for air to move through. Normally, the trachea is held open by firm C-shaped cartilage rings. If the tracheal cartilage is not as healthy as it should be, the trachea can collapse in on itself during breathing. This is especially likely when a dog is excited or during exercise.
While any dog can have weak tracheal rings, it is most common in obese dogs and small breed dogs like Yorkies, Maltese, Chihuahuas, and Poodles.
What does a dog with a collapsed trachea sound like?
As the trachea collapses and becomes inflamed from its walls rubbing together, dogs typically develop a unique honking cough, often compared to the sound of a goose honk. This honking noise is usually heard on exhalation, but there can also be a wheezing sound present during inhalation.
When the coughing episodes begin, they may be mild and not terribly bothersome. However, as the disease progresses, the cough gets more severe, and the patient becomes more distressed. Sometimes a dog may even experience life-threatening respiratory distress.
How is a collapsing trachea diagnosed?
In order to reach a diagnosis, your dog’s vet will start by evaluating your dog’s heart and lung sounds as part of the physical exam. Plus, he or she will check for tracheal sensitivity—coughing when pressure is applied to the trachea—which is common in tracheal problems.
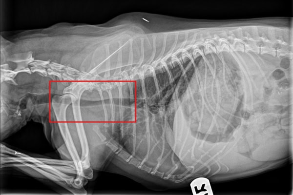
The vet may also run blood tests for dogs to check for signs of infection and evaluate your dog’s overall health. For coughing dogs, taking X-rays to evaluate the shape of the heart, the health of the lungs, and the size and shape of the trachea is very helpful, too. (Note: Tracheal collapse is dynamic, and an X-ray captures one moment in time, so it doesn’t always show up well on X-rays.)

What is the treatment for tracheal collapse?
The vet will make treatment recommendations for your sweet pup based on how advanced his or her disease is.
If the cough is mild and your dog is acting normally otherwise, you may be able to manage your dog with some of the methods for soothing a dog with a collapsing trachea that we will discuss soon.
However, as the disease progresses, your dog may also need medications to manage the collapsed trachea. These might include cough suppressants, steroids, bronchodilators, sedatives, or anti-anxiety medications.
What about surgery for tracheal collapse?
Some dogs may be a candidate for a tracheal stent. This involves inserting a specialized metal implant (stent) inside the trachea to keep it open and prevent that area from collapsing again. A veterinary specialist (board-certified veterinary surgeon) typically performs the procedure.
How can I soothe a dog with a collapsed trachea?
Medications and surgery are important. But how you care for and support your dog plays a big role in helping soothe a dog with a collapsing trachea. Below are 10 tips for keeping your dog with tracheal collapse comfortable and safe.
1. Ensure your dog stays cool
Hot, humid conditions can make it harder for dogs with tracheal collapse to breathe. Plus, having a collapsing trachea increases the risk of your dog overheating or suffering heat stroke in dogs.
The following measures can help keep your dog cool in summer if he or she has a collapsed trachea:
- Stay indoors during the hottest parts of the day.
- Try to time your walks and potty breaks for the early morning or late evening.
- If it is particularly hot and humid where you live, consider using potty pads inside for your dog rather than trying to take him or her outside.
- If you must take your dog for a car ride, cool the car before putting your sweet pup in it.
2. Turn on a fan
Consider keeping a fan blowing in the rooms where your dog spends most of his or her time. Moving air seems to be soothing for dogs with tracheal collapse.
3. Use a harness, not a collar
Since collars put pressure on the trachea, this can worsen your dog’s symptoms. On the other hand, harnesses spread the pressure across the dog’s chest. For this reason, it is best to use a harness instead of a collar when walking a dog with tracheal collapse.

4. Know how to carry a dog with tracheal collapse
Don’t lift dogs with a collapsing trachea by grabbing them under the armpits. This can increase pressure on their chest and trachea. Instead, lift them by supporting their whole body from underneath, with one hand under their chest and one hand under their abdomen. Or support their chest and abdomen by holding them along the length of your hand and forearm.
5. Get a dog bed with elevated sides
It can be helpful to purchase a dog bed with a bolster or couch design. Sleeping with the head elevated makes breathing easier for many dogs with a collapsed trachea.
6. Keep your dog at an ideal weight
Maintaining a healthy dog body condition score is very important for dogs with a collapsing trachea. The excessive weight and skin folds that accompany obesity can put pressure on the neck and chest. This makes it even harder for the dog to breathe. If your dog is overweight, it is a great idea to start a weight loss plan for him or her.
7. Make a vet appointment if coughing becomes problematic
A good general rule is that a random cough or two here and there may be monitored for progression. However, see your vet if your dog:
- Is coughing more than once an hour
- Has been coughing for a few days with no improvement
- Can’t sleep at night
- Seems stressed during the coughing fits
- Is having difficulty breathing (this is an emergency)
8. Know how to recognize respiratory distress
Dogs in respiratory distress due to a collapsing trachea may appear to be panting heavily and have wide eyes (also called whale eyes). They may hold their neck out (often referred to as having a goose-neck appearance) and have a hard time relaxing or lying down to sleep. Or, they could be coughing non-stop, with muddy, blue-grey, or pale gums in dogs.
If your dog is having trouble breathing, you may try holding him or her in an upright, “sitting” position. For some dogs, this creates less stress during an episode. However, if his or her breathing doesn’t rapidly improve, it is best to make an emergency vet visit.
9. Understand what emergency care for collapsing trachea may involve.
When your dog is experiencing respiratory distress, he or she may need to be hospitalized for round-the-clock care. This typically includes oxygen supplementation and IV medications. Then, once your dog is more stable, he or she can go home on the medications discussed previously.

10. Have portable oxygen on hand in case of an emergency
Consider buying a portable oxygen device (such as PawPrint Oxygen) to have on hand in case of an emergency. This can give your beloved pup some comfort. And it buys time on your way to the hospital in the midst of a crisis.
How long can a dog live with tracheal collapse?
Like many other diseases, survival times after a diagnosis of tracheal collapse can be variable. Some dogs will have a slow progression of disease. Others will rapidly advance or end up having a life-threatening respiratory crisis.
One study on the outcomes of dogs with tracheal collapse reported that dogs with a collapsing trachea had an average survival time of 3.7 years with medical management and 5.2 years with successful stent placement. However, with severe tracheal collapse, dogs lived an average of 12 days with medical management and 1,338 days with a stent placement.
Can tracheal collapse be fatal?
Collapsed trachea in dogs is a progressive disease. Thus, the unfortunate truth is that most dogs who are diagnosed with the condition will eventually experience a poor quality of life from it. Many dogs will ultimately pass away due to their disease. However, some dogs may die or be euthanized due to an unrelated issue.
Respiratory difficulties can be particularly stressful. Being unable to move air into the lungs feels very similar to a severe asthma attack. This can be traumatic for both your sweet dog and you. It is difficult to watch a loved one struggling, and witnessing breathing difficulties can be particularly stressful.
How will I know when to euthanize a dog with tracheal collapse?
The situation surrounding the decision to let your dog with tracheal collapse go can vary. Sometimes you have to make that choice in the midst of a crisis. Other times, it is the result of watching your dog decline slowly.
There is the possibility that your dog’s tracheal collapse symptoms could worsen quickly, leading you to rush your dog to the ER. If your dog is suffering and unable to breathe, and things don’t look promising, the kindest choice may be to set your dog free. Sometimes this is the case even if he or she was only recently diagnosed with tracheal collapse.
In other situations, your dog may show a lot of warning signs that their quality of life is declining. This gives you a bit more time to prepare and consider your options.
As long as your dog’s tracheal collapse episodes are well managed and infrequent, your dog likely still has a good quality of life. However, when episodes are getting more severe, limiting what your dog can do, or happening often, they may be negatively affecting your dog.
We always want to spend as much time as possible with our beloved animal family. But, with conditions like tracheal collapse that can turn into a crisis with very little warning, making the decision for humane euthanasia is rarely “too early.”
Tools that can help you make the decision
During the decision-making process, it can be helpful to track good days and bad days in an app or on a blank calendar page. When the bad days come more often and/or the episodes become more prolonged, more stressful, or more frequent, it may be time to consider humane euthanasia.
If you are struggling to find clarity, it could be helpful to use a quality of life scale for dogs. By filling it out on a daily, weekly, or monthly basis (depending on the situation), you can easily track how your dog’s enjoyment of life is changing over time.
Dog parent caregiver fatigue can also play a significant role in decisions such as this. Sometimes it helps to seek an outside perspective from a trusted friend or your family veterinarian. You may want to schedule an appointment for an in-person visit or phone consultation with a hospice and palliative care veterinarian, too. They can be a great source of support and guidance while making such a difficult decision.

No matter what you decide or how your dog’s tracheal collapse progresses, the decisions can be overwhelming. This choice is never easy because our hearts are never quite ready to let go—even when our logical brain knows it may be the kindest choice.
Loving and letting go of a dog with tracheal collapse
When your dog is diagnosed with tracheal collapse, the journey can feel like a roller coaster. On your dog’s good days, you are able to soothe him or her, and quality of life seems ok. You can adapt to the new routine of morning or evening walks, using a harness, and all the other ways you can care for and soothe your dog with a collapsed trachea.
However, the bad days can feel terrible and be really overwhelming if none of the soothing techniques seem to relieve your dog’s symptoms.
Once the bad days outnumber the good days, and quality of life is poor, you may decide that euthanasia is the kindest decision. “When” to make the decision is not easy, but it is kind to set your dog free when he or she is struggling to breathe.
I believe that our pets are wonderful at knowing our intentions. They love us unconditionally, and they know that we are always doing our best to care for them. If you are in the midst of a decision (or if you are looking back at a decision you made in the past), take comfort in the fact that you being here reading this article means you care tremendously. And your sweet dog knows that, too.
How do you soothe your dog with a collapsed trachea?
Please comment below.

